睡眠

スポンサーリンク
 長文

睡眠不足が引き起こす症状って、疲労感や肌荒れ、思考力の低下などいろいろあるけど

睡眠不足が引き起こす症状って、疲労感や肌荒れ、思考力の低下などいろいろあるけど、本当に危険なのは「優しさがなくなってしまうこと」です。あまり寝てないときは、ちょっとしたことでイラっとするし、大切な人との関係を傷つけてしまうかもしれません。睡...
 長文

眠れない夜は「100万円を持っている妄想」をしてください

眠れない夜は「100万円を持っている妄想」をしてください。そして家から出発して100万円を使い切るまでを細かくイメージしてください。できるだけ現実に近い想像をすると、10万円ぐらいで面倒くさくなって寝れます。幸福感を持って眠れるのでオススメ...
 長文

息子がいくら寝ても日中眠いと言うので、ナルコレプシー??って思ったけど

息子がいくら寝ても日中眠いと言うので、ナルコレプシー??って思ったけど、塾で同じ症状の先生がいて、その先生が、医学の勉強もしている先生から「暖かい布団に入って、冷えピタ貼って寝ろ」って言われて、実践してみたらすっきりしたというので、息子も真...
 長文

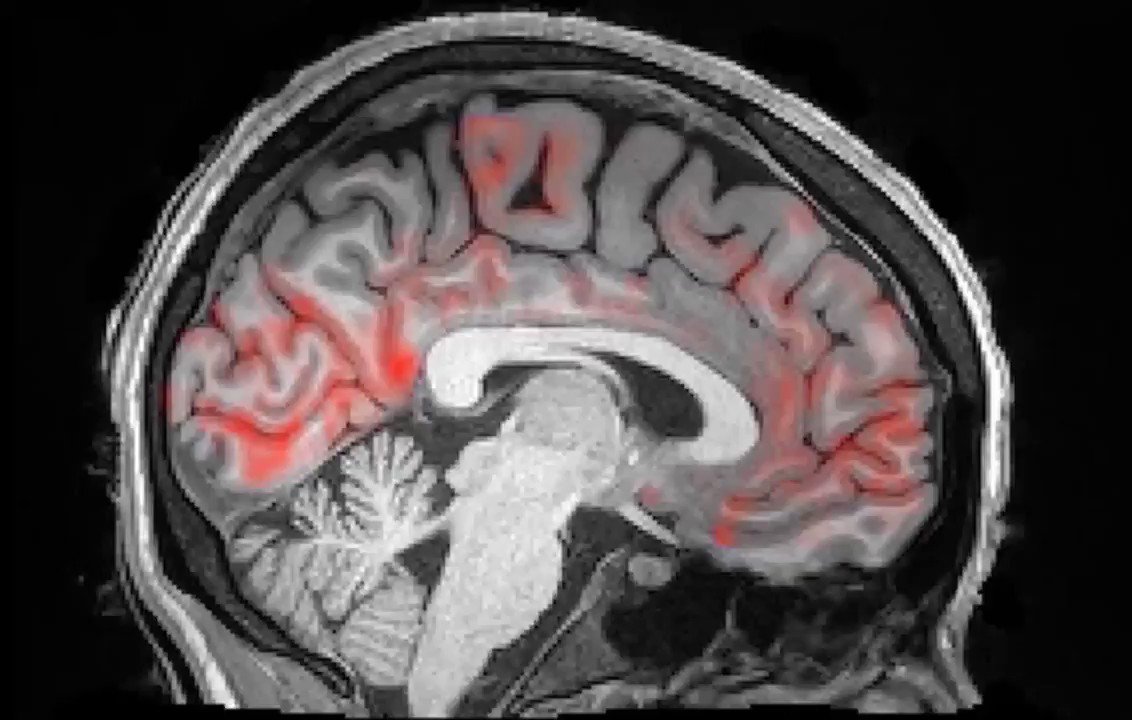
睡眠中に脳が脳脊髄液によって「洗浄」される動画

睡眠中に脳が脳脊髄液によって「洗浄」される動画。睡眠によって脳の活動が収まると、血液をろ過して作られた脳脊髄液という液体が脳に流れ込み、脳内を洗浄して老廃物を処理する。睡眠が不足すると、この老廃物除去がうまく行えないと考えられるため、睡眠は...
 長文

眠れなくて困っている方へ

眠れなくて困っている方へ。120秒で寝落ちする米軍式睡眠導入法を試してみて…英インデペンデント紙では、このトレーニングを6週間すると96%の人が成功すると紹介。朝活は快適睡眠&朝の時間の過ごし方で決まる。生活リズムを整えるためにも試して欲し...
 長文

人は疲労が溜まると警戒心が高まり「人間不信」になりやすくなるそうです

人は疲労が溜まると警戒心が高まり「人間不信」になりやすくなるそうです。そして「攻撃される前に先に攻撃しよう」という気持ちになるので、中立な人にも攻撃的になります。疲れている時は人に優しくできないので、早く帰って寝たほうがいいですね。— ぱや...
 長文

定年退職を迎えた方が「若い人たちに伝えてほしい」ということなので、お伝えしますね

先日、定年退職を迎えた方が「若い人たちに伝えてほしい」ということなので、お伝えしますね。「不安があって眠れない夜は大きなテディベアを抱くと良いですよ。僕は恥ずかしいけれど、この方法で不眠症がびっくりするほど解消したんです。人には絶対に言えな...
 長文

残業時間以上に「睡眠時間が6時間以内」になることが自殺念慮の大きな因子となる

公衆衛生学会に参加しました。残業時間以上に、「睡眠時間が6時間以内」になることが自殺念慮の大きな因子となることが驚愕でした。労働時間制限以上に睡眠時間確保の提言が必要です。— けいしろう/yumetavenchu Inc.(仮) (@Tyl...
 長文

眠れない人にお伝えしたいのですが「認知シャッフル睡眠法」を試してみてください

眠れない人にお伝えしたいのですが「認知シャッフル睡眠法」を試してみてください。脈絡ないことをひたすらイメージしていく方法です。サバ、ねじ、ペンギン、門松とランダムに想像すると「脈絡ないし、もう寝てもいいか」と脳が睡眠モードになるようです。布...
 長文

自衛隊にいたとき、普段は優しい人が、過酷な訓練で豹変することがよくありました

自衛隊にいたとき、普段は優しい人が、過酷な訓練で豹変することがよくありました。人は「寒いとき」「お腹が空いたとき」「寝てないとき」に他人への優しさが消えてしまいます。なので、暖かい風呂に入って、しっかりご飯を食べて、よく寝てください。自分の...
スポンサーリンク