スポンサーリンク
 長文

柿の美味しい季節ですが一つだけご注意

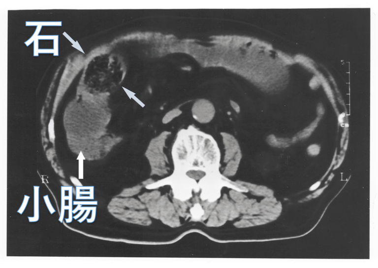
柿の美味しい季節です私は柿が大好物ですが一つだけご注意「空腹時」に柿を食べると「柿胃症」を起こす場合があります胃石の形成で激痛を伴い死に至る場合もあり祖母はこの病で急死しました体質もあり必ず発症するわけではないが「空腹時に柿だけ大量に食す」...
 長文

柿 は 焼 い て も う ま い

もっとはやく知りたかった!柿 は 焼 い て も う ま いてことを。ヘタ部分の切り落としてトースターで10分程焼くだけ。カスタードみたいなとろっとした甘さが楽しめます。お好みでバタークリームチーズなどを載せるとより贅沢なスイーツに。焼き柿...
 長文

ちゃんと調べてからCM作った方がいいと思う

これ住友林業のCMなんだけど、干し柿は11月以降の寒い時期に干すものやぞ。日中の気温が20℃以上だと腐る。半袖の時期、しかもこんな林の中で吊ると虫もつくやろ…あと縦長の渋柿で作るほうが甘くなるんやで。ちゃんと調べてからCM作った方がいいと思...
ツイッター

オイル交換をお願いして、請求書をみて驚愕!!

オイル交換をお願いして、請求書をみて驚愕!! pic.twitter.com/bvDJg9r6sC— がわっち (@gawacchi) 2017年10月25日宿泊代のつもりでは????— あんちゃんパパ (@Anchan_papasan) ...
ツイッター

字が似ていて区別がつかないって人が多いのが、いまだに信じられません!

柿(かき)と?(こけら)の字が似ていて区別がつかないって人が多いのがいまだに信じられません!だから、ちゃんと区別できる動画作りました。ちゃんとフォント別に作ったんで、しっかり覚えてくださいよ。明らかに違いますから!?#柿の日 pic.twi...
ツイッター

熟した柿の使い道

今日熟した柿と牛乳をミキサーにかけて冷蔵庫で冷やすだけで柿プリンが出来る事を知った。何も入れなくてもそれだけで固まるそうだ。熟した柿の使い道。いつか作ってみよう。 pic.twitter.com/hdedj59DgI— Green Pepp...
スポンサーリンク